Nuestra Especialidades Dentales están orientadas a brindar atención en áreas específicas de la odontología moderna a través de la aplicación de modernas técnicas y el empleo de materiales de la más alta calidad.
Contamos además con Excelentes Odontólogos Especialistas los cuales cuentan con las habilidades y la experiencia necesarias para atender de la mejor forma cada una de las Especialidades Dentales que ofrecemos en MEGAintelident Clinic®


La ortodoncia es una ciencia que se encarga del estudio, prevención, diagnóstico y tratamiento de las anomalías de forma, posición, relación y función de las estructuras dentomaxilofaciales; siendo su ejercicio el arte de prevenir, diagnosticar y corregir sus posibles alteraciones y mantenerlas dentro de un estado óptimo de salud y armonía, mediante el uso y control de diferentes tipos de fuerzas.

Es la rama de la Odontología que se encarga del estudio y conocimiento del medio bucal y sus intervenciones microbiológicas inmunológicas en la prevención de enfermedades dentales.
En MEGAintelident Clinic® estamos seguros que si conoces las causas de las enfermedades de la boca tú mismo puedes evitarlas.


Los tratamientos ortopédicos dentales buscan modificar el patrón de crecimiento de los huesos. Si el niño tiene falta de crecimiento en alguna parte, la ortopedia buscará estimular el desarrollo de esa área. Por el contrario, si hay crecimiento excesivo de alguna región, se tratará de re-dirigir ese crecimiento de una forma más favorable para el paciente.
Todo esto llevará a una buena posición de los dientes dentro de las arcadas, a una oclusión adecuada, estable y funcional, acompañada, por supuesto, de una cara de proporciones adecuadas y un perfil armonioso.
Es conveniente llevar al niño a su primera cita dental cuando tenga cerca del año y medio de edad. Luego, al momento en que el pequeño tenga su dentadura decidua completa, alrededor de los 3 años, ya puede presentar ciertas características que indiquen si necesitará algún tipo de tratamiento ortopédico o simplemente de controles periódicos para monitorear su crecimiento y desarrollo.

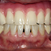
La dentición natural estética debe estar ordenada en repeticiones de forma, posición y color. La sonrisa es una de las expresiones faciales más importantes que diferencia al ser humano del resto de los animales.
La utiliza como parte del lenguaje, expresando alegría felicidad o placer. Desde el punto de vista anatómico, la sonrisa puede analizarse estudiando cada uno de sus componentes: labios, encías y dientes.

La Odontopediatría es la encargada de explorar y tratar a pacientes infantes encargandose de detectar posibles anomalías en la posición de los maxilares o dientes para remitir al ortodoncista, especialista en ortodoncia, y de hacer un tratamiento restaurador en caso de necesitarlo.

La odontogeriatría atiende también personas de cualquier edad, cuyo estado físico general esté significativamente influenciado por procesos degenerativos y enfermedades que se asocian habitualmente con la persona mayor.
Los pacientes atendidos por la Odontogeriatría suelen tener una o más enfermedades crónicas que implican un deterioro físico o mental debilitantes, con problemas asociados psicosociales y/o derivados de tratamientos medicamentosos.

La Endodoncia o terapia endodóntica consiste en la extirpación parcial (pulpotomías en dientes temporales) o la extirpación total de la pulpa dental (nervio-arteria-vena).
Se aplica en piezas dentales fracturadas, con caries profundas o lesionadas en su tejido pulpar (tejido conectivo laxo) en las que se da una sintomatología característica pulpitis.


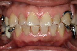
Las prótesis pueden ser fijas como un puente o removibles si se pueden quitar y también pueden ser parciales o completas según si comprenden un limitado número de dientes o toda la arcada respectivamente.
La prótesis puede estar cementada, atornillada o mecánicamente unida a un diente natural, a un pilar implantado o a un diente en estado de raíz, pudiendo reemplazar una sola pieza o múltiples piezas hasta la totalidad de las arcadas dentales.


La cirugía bucal es la más antigua especialidad reconocida de la odontología y como parte de ella le concierne el diagnóstico y el tratamiento quirúrgico de las enfermedades, anomalías y lesiones de los dientes, de la boca, los maxilares y de sus tejidos contiguos.


La cirugía maxilofacial es la especialidad médica, quirúrgica y odontológica encargada de la prevención, estudio, diagnóstico, tratamiento y rehabilitación de las patologías bucales, faciales y territorio craneofacial, así como de los órganos y estructuras cervicales.

Habitualmente tiene forma roscada y está fabricado con materiales biocompatibles que no producen reacción de rechazo y permiten su unión al hueso.
La superficie del implante puede presentar diferentes texturas y recubrimientos, utilizadas habitualmente para aumentar su adhesión al hueso (osteointegración si es de titanio y biointegración si se trata de un material cerámico).


Existen diferentes tipos de prótesis fijas entre las que podemos destacar carillas, coronas, y puentes.
La colocación de una prótesis fija cuenta con grandes ventajas como la funcionalidad y la comodidad propias de un diente natural. En cualquiera de los casos, su aplicación dependerá de la prescripción facultativa, y de la estructura a rehabilitar.
La prótesis dental tiene la función de reparar o reemplazar estructuras dentales dañadas, perdidas o simplemente con una estética mejorable.

La Prótesis Dental Removible utiliza aparatos bucales portadores de dientes artificiales, que se pueden y deben extraer de la boca para facilitar la limpieza.
Mejoran la masticación, la estética y el habla. Estos aparatos de prótesis removible se sujetan a algunos dientes naturales mediante dispositivos no rígidos, llamados retenedores (ganchos), y a veces también descansan sobre el hueso cubierto de encia.



La principal condición que trata es la periodontitis denominada comúnmente piorrea, es una enfermedad crónica e irreversible que puede cursar con una gingivitis inicial (sangrado de encias), para luego proseguir con una retracción gingival y pérdida de hueso hasta, en el caso de no ser tratada, dejar sin soporte óseo al diente.
La pérdida de dicho soporte implica la pérdida irreparable del diente mismo.
Retorno 26 de Cecilio Robelo No. 13,
15900, Jardín Balbuena, México, CDMX
01 (55) 5786 - 0464
01 (55) 5571 - 1849
MEGAintelident Clinic es una marca registrada que tiene como objetivo, la salud bucal de las personas, contamos con personal especializado para desempeñar esta labor. Todos los contenidos que aparaecen en este sitio (textos e imágenes) son propiedad de MEGAintelident Clinic y queda prohibida su reproducción parcial o total sin concentimiento previo a la marca.
Gracias por visitar el sitio Web de MEGAintelident Clinic.COM (en adelante el "Sitio"). Su privacidad es importante para nosotros. Mediante este aviso, Maria Elena García Arredondo,(en adelante MEGAintelident Clinic, informa a los usuarios de el Sitio (en adelante los "Usuarios" o "Usted") acerca de su Política de Privacidad. Al proporcionar su información personal al Sitio, Usted expresamente autoriza al Sitio a recibir, almacenar y utilizar dicha información de conformidad con esta Política de Privacidad, la cual es parte de las Condiciones de Uso bajo las cuales se rige el Sitio.
Tenemos la capacidad de obtener dos tipos de información de los Usuarios que visitan el Sitio:
La Información Personal es cualquier información o dato que pueda identificarlo, como su nombre, dirección, número de teléfono, dirección de correo electrónico, información de tarjetas de crédito, fecha de nacimiento, género, y dirección IP (número que le es asignado automáticamente a su computadora por la red cuando se conecta al Internet). En nuestro Sitio, Usted puede participar en concursos, votar y opinar en encuestas y temas, participar en nuestros foros o en una comunidad. En algunas áreas del Sitio, solo aquellos Usuarios que proporcionen la información solicitada podrán participar de las actividades ofrecidas.
La Información No-Personal son datos anónimos que obtenemos tales como su navegador de Internet (por ejemplo, Internet Explorer, Mozilla), el sistema operativo que está corriendo su computadora (por ejemplo, Windows, Mac), y el proveedor de servicio de Internet.
El Sitio puede utilizar "cookies", etiquetas de seguimiento o tecnologías similares para recolectar de manera pasiva información anónima; estas tecnologías no recolectan Información Personal. Las "cookies" son archivos de texto que se colocan en el navegador del computador y que pueden ser utilizadas para ayudar a reconocerlo a Usted como Usuario del Sitio. Las etiquetas de seguimiento son pequeñas partes de códigos que se colocan en las páginas Web y se utilizan, entre otras cosas, para contar a los usuarios que visitan esa página o para llevar una cookie al navegador de un usuario que esté viendo esa página.
El Usuario tiene la posibilidad de configurar su navegador de Internet para que se le avise en la pantalla cuando reciba "cookies" y para impedir la instalación de "cookies" en su disco duro, perdiendo así algunas funcionalidades del Sitio. Por favor, consulte las instrucciones y manuales de su navegador de Internet para ampliar esta información. Para utilizar el Sitio, no resulta necesario que el Usuario permita la instalación de los "cookies", sin embargo, para utilizar algunas áreas y/o servicios del Sitio puede ser necesaria la recepción de "cookies"; en estas áreas y servicios se notificará al Usuario de su necesidad.
Los Usuarios pueden registrarse en el Sitio mediante "Facebook Connect", un servicio de registro remoto de Facebook. Al registrarse en el Sitio de esta manera, Usted le da acceso a MEGAintelident Clinic a la base de datos de registro de su página de Facebook lo que nos permite obtener su Información Personal y ciertos datos personales que aparecen en su perfil de Facebook, incluyendo su foto, con excepción de su dirección de correo electrónico. El Usuario adicionalmente permite de este modo a MEGAintelident Clinic contactarlo vía Facebook a través de su cuenta de email de Facebook y el sistema de notificaciones que Facebook ofrece a sus usuarios, así como permite que Facebook exhiba su actividad en el Sitio en su perfil de Facebook. Al registrarse en el Sitio mediante Facebook Connect, Usted también acuerda regirse por los Términos de Uso ("Terms of Use") de Facebook. Si Usted se registra en el Sitio mediante Facebook Connect, Usted puede cancelar su registro en el Sitio y modificar los permisos de privacidad a través de Facebook únicamente.
Utilizamos la Información Personal que Usted provee para comunicarnos con Usted cuando Usted está participando en o ha ganado un concurso y para proporcionarle servicios que creemos serían de interés para Usted. También usamos esta información para facilitar la participación en los foros y comunidades y de vez en cuando, para ofrecerle servicios.
A veces utilizamos la Información No-Personal que recogemos para mejorar el diseño y contenido del Sitio y para poder personalizar su visita al Sitio. También podemos usar la información en conjunto para analizar y estudiar el uso del Sitio y conocer las características demográficas de los Usuarios.
MEGAintelident Clinic no vende la Información Personal de sus Usuarios a terceros. Sin embargo, MEGAintelident Clinic puede compartir la información de vez en cuando con sus empresas filiales. En todo caso, MEGAintelident Clinic protege la confidencialidad y el trato seguro de la Información Personal. Subcontratistas de MEGAintelident Clinic que tienen acceso a Información Personal están obligados a proteger esta información de una manera consistente con esta Política de Privacidad y no pueden utilizar la información para otro propósito que no sea proporcionar los servicios que están desempeñando para MEGAintelident Clinic.
MEGAintelident Clinic podrá revelar la Información Personal de sus Usuarios o la información almacenada por éstos en respuesta a un proceso legal, por ejemplo en respuesta a un requerimiento de comparecencia a una citación judicial. Asimismo, podemos divulgar dicha información en respuesta a la petición de algún órgano judicial, o cuando creamos que es pertinente investigar, prevenir o tomar acción en cuanto a actividades ilegales, sospecha de fraude, situaciones de posibles amenazas a la seguridad corporal de cualquier particular, violaciones a nuestras Condiciones de Uso, o cualquier otra situación que la ley exija. En cuestiones que supongan un peligro para la seguridad personal o pública, MEGAintelident Clinic puede voluntariamente proveer información a las autoridades administrativas o judiciales pertinentes. Además, podemos ceder la Información Personal de los Usuarios a una compañía que adquiera a MEGAintelident Clinic o se fusione con MEGAintelident Clinic.
MEGAintelident Clinic ha adoptado los niveles de seguridad de protección de la Información Personal requeridos por la ley.
Aunque MEGAintelident Clinic no garantiza la seguridad de la Información Personal en circunstancias fuera de nuestro control, MEGAintelident Clinic ha instalado los medios y medidas técnicas para tratar de evitar la pérdida, mal uso, alteración, acceso no autorizado y robo de la Información Personal facilitados a MEGAintelident Clinic por los Usuarios.
Es posible que de vez en cuando nuestras páginas tengan enlaces a sitios de terceros cuyas prácticas de información sean distintas a las nuestras. Los visitantes a estos sitios deben consultar los avisos de privacidad de estos sitios ya que MEGAintelident Clinic no tiene control sobre la información suministrada a o recogida por estos sitios. MEGAintelident Clinic a veces ofrece concursos o promociones copatrocinadas por terceros. Por ende, estos terceros pueden obtener la Información Personal que los Usuarios proporcionan voluntariamente para participar en la actividad. MEGAintelident Clinic no tiene control sobre el uso de la información por estos terceros.
Usted podrá ingresar a su cuenta del Sitio en cualquier momento para editar, actualizar y corregir su Información Personal, así como también para borrar completamente su perfil dentro del Sitio (esto no aplica para la información contenida en "Facebook Connect" y que es mantenida y regulada por Facebook directamente). Usted podrá también enviar un email a contacto@megaintelidentclinic.com solicitando la desactivación de su perfil de Usuario en el Sitio.
Si después de habernos proporcionado su Información Personal, Usted no desea que usemos la misma (por ejemplo, si ya no desea recibir los "newsletters"), Usted podrá solicitar que dejemos de utilizar su Información Personal de dos maneras: (i) ingresando a su cuenta y seleccionando la opción de eliminar la recepción de "newsletters", o (ii) haciendo "clic" en el enlace que se encuentra al pie de página de los "newsletters" que recibe por e-mail.
Es posible que de vez en cuando actualicemos esta Política de Privacidad cuando haya cambios en la manera que tratamos los datos personales de los Usuarios. Le pedimos que revise esta Política de Privacidad periódicamente para que Usted siempre sepa la información que recogemos y como la utilizamos.
Noviembre de 2020
El presente Convenio y todos sus anexos (en adelante el "Convenio del Usuario") regula el uso de los servicios prestados por la Dra. María Elena García Arredondo a través de megaintelidentclinic.com y sus demás extensiónes o tld´s y del Sitio de internet o las páginas o sitios hospedados, ubicados o ligados al o en el mismo, el cual se ubica en la dirección www.megaintelidentclinic.com (en adelante el "Sitio o MEGAintelident Clinic"). Cada vez que una persona acceda al Sitio o utilice los servicios prestados por MEGAintelident Clinic que se detallan más adelante, adquiere la calidad de usuario de MEGAintelident Clinic (en adelante el "Usuario").
El Usuario al acceder a MEGAintelident Clinic o al utilizar los servicios prestados a través del Sitio acepta de manera tácita e incondicional sujetarse a los términos y condiciones contenidos en este Convenio del Usuario, por lo que se adhiere al contenido y alcance del mismo en la versión del Convenio del Usuario publicada en línea por MEGAintelident Clinic de tiempo en tiempo en el momento mismo en que el Usuario acceda a MEGAintelident Clinic. Por lo anterior, se recomienda al Usuario que cada vez que utilice los servicios de MEGAintelident Clinic lea cuidadosamente el Convenio del Usuario y sus respectivos anexos ya que el mismo puede ser actualizado y/o modificado por MEGAintelident Clinic en cualquier momento sin notificación personal directa al Usuario. En relación con lo anterior, el Usuario en cualquier momento podrá examinar la versión actualizada del Convenio del Usuario únicamente con oprimir el texto Convenio del Usuario que se encuentra localizado en la parte inferior de la página de acceso. Adicionalmente, el acceso a y/o la utilización, según sea el caso, de los contenidos y servicios ofrecidos a los Usuarios en y/o a través de MEGAintelident Clinic se encuentran sometidos a ciertas condiciones específicas que, según el caso, sustituyen, complementan o modifican el Convenio del Usuario ("Convenios Específicos"). Por lo que con anterioridad al acceso y utilización de dichos servicios y contenidos, el Usuario deberá revisar los correspondientes Convenios Específicos que de tiempo en tiempo se hagan del conocimiento de los Usuarios a través del Sitio. El acceso y/o utilización, según sea el caso, de dichos servicios y contenidos expresan la tácita, entera e incondicional aceptación de los Convenios Específicos en la versión que se encuentre publicada al momento mismo en que se produzca el acceso a dichos contenidos o el uso de dichos servicios por el Usuario.
MEGAintelident Clinic proporciona a los Usuarios, directa o indirectamente, el acceso y/o el uso, según sea el caso, de una serie de recursos, servicios y contenidos en línea a través del sistema o red global de información conocida como "Internet", incluyendo, pero no limitado a: noticias, editoriales, consejos, entrevistas, investigaciones, correo electrónico (e-mail), disponibilidad de uso de cuartos virtuales de charla (chat rooms), foros de discusión, videos y servicios de compras electrónicas a través de los servicios de intermediación del Sitio (en adelante los "Servicios"). MEGAintelident Clinic se reserva el derecho de modificar, agregar o eliminar unilateralmente, en cualquier momento y sin previo aviso, los Servicios, la presentación y configuración de MEGAintelident Clinic y cualquiera de los Servicios, así como las condiciones requeridas para acceder y/o utilizar cualquiera de los Servicios. De la misma forma, la adquisición, compra, venta u obtención de cualquier artículo a través de cualquiera de los Servicios es bajo el único y exclusivo riesgo de los Usuarios y MEGAintelident Clinic únicamente actúa como intermediario entre el proveedor del bien específico y el Usuario.
La prestación de los Servicios proporcionados a los Usuarios por MEGAintelident Clinic es de forma gratuita, excepto por ciertos Servicios que sólo pueden utilizarse mediante suscripción o registro del Usuario y/o pago de un precio y los cuales MEGAintelident Clinic identificará para la utilización del Usuario de tiempo en tiempo. MEGAintelident Clinic proporciona únicamente a sus Usuarios la capacidad para utilizar los Servicios por lo que el Usuario es el responsable de contar con el equipo necesario para establecer la conexión y el acceso al Internet (World Wide Web o www) a través de cualquier teléfono u otra conexión a través de tecnología conocida o por conocerse. El Usuario será responsable en todo momento de los costos asociados con dicho acceso.
El Usuario se compromete a utilizar y acceder a MEGAintelident Clinic y a hacer uso de los Servicios conforme a lo establecido en las leyes, la moral, las buenas costumbres y el orden público aplicables en el país en que se ubique al accesar los Servicios, México y los Estados Unidos de América, con lo dispuesto en este Convenio del Usuario, por lo que se obliga a abstenerse de utilizar a MEGAintelident Clinic y los Servicios o de realizar actos con fines o efectos ilícitos, lesivos de derechos e intereses de terceros, contrarios al Convenio del Usuario o con fines sediciosos o clandestinos o que de cualquier forma puedan dañar, inutilizar, sobrecargar o deteriorar a MEGAintelident Clinic y los Servicios o impedir su uso normal de por los Usuarios, en cuyo caso MEGAintelident Clinic podrá, al tener conocimiento de dicho uso, suspender los Servicios al Usuario inmediatamente después de que MEGAintelident Clinic haya obtenido dicho conocimiento, y el Usuario tendrá cinco días para remediar dicho uso o expresar ante MEGAintelident Clinic lo que a su derecho convenga.
El Usuario manifiesta que conoce y está enterado de que toda la información, datos, texto, software, música, sonido, fotografías, gráficas, videos, mensajes u otros materiales contenidos en MEGAintelident Clinic así como el Sitio mismo y su diseño de página"lay-out" (en adelante el "Contenido"), ya sea publicado para el público en general o transmitido en privado, es de la titularidad exclusiva del propietario de dicho Contenido y de la exclusiva responsabilidad de la persona que originó el Contenido y no de MEGAintelident Clinic, excepto cuando expresamente se señale lo contrario. Por lo anterior, MEGAintelident Clinic no es responsable del Contenido y la publicación del mismo ni representa de modo alguno la opinión de MEGAintelident Clinic. El Usuario o la persona que genere el Contenido, será el único responsable del mismo ya sea que haya sido introducido, publicado, enviado por correo electrónico o que de cualquier otra manera sea transmitido a través de MEGAintelident Clinic o de los Servicios. En virtud de que MEGAintelident Clinic no controla el Contenido que es transmitido, almacenado o publicado a través de los Servicios, no garantiza la exactitud, veracidad, idoneidad, actualidad, integridad, utilidad o calidad del mismo. El Usuario al utilizar el Servicio, puede ser expuesto a Contenido que es ofensivo, indecente o inaceptable para él mismo o ilegal bajo las leyes aplicables en el país de residencia del Usuario o en el país en el que se ubique el Usuario al acceder a los Servicios, por lo que MEGAintelident Clinic, bajo ninguna circunstancia, será responsable ante el Usuario o ante terceras personas por el Contenido, incluyendo, pero no limitado a errores de cualquier tipo u omisiones en cualquier Contenido, o de pérdidas, daños, penas y/o multas de cualquier clase en que se incurra como resultado de cualquier Contenido publicado, enviado por correo electrónico o de otra manera transmitido a través del Sitio.
En los casos en que el Usuario haga uso de aquellos Servicios que, por su naturaleza, permiten a los Usuarios introducir Contenido en MEGAintelident Clinic y hacerlos accesibles a otros Usuarios, como por ejemplo, entre otros, los servicios de correo electrónico, servicios de charla virtual, foros virtuales, etc. (conjuntamente en adelante "Foros Abiertos") se obliga a utilizar los mismos conforme a las leyes que resulten aplicables, la moral, las buenas costumbres, el orden público y el Convenio de Usuarios. De manera enunciativa, más no limitativa, el Usuario se obliga y está de acuerdo en no utilizar los Servicios para:
Aún cuando MEGAintelident Clinic no efectúa revisiones ni chequeos previos (pre-screen) del Contenido, tanto MEGAintelident Clinic como las personas que designe para tales efectos, tendrán a su discreción el derecho (pero no la obligación) de, en cualquier tiempo y sin previa notificación a los Usuarios, revisar, rehusar, eliminar, modificar, sustituir y/o o mover cualquier Contenido que esté disponible a través de los Servicios y MEGAintelident Clinic podrá suspender el acceso o cualquier servicio al Usuario por tal razón. La misma facultad y derecho tendrá MEGAintelident Clinic para remover cualquier Contenido que viole el Convenio del Usuario o que de otra manera signifique o implique una objeción y/o contradicción al mismo. MEGAintelident Clinic manifiesta y el Usuario acepta que es de la exclusiva responsabilidad de los Usuarios el evaluar y correr con el riesgo asociado con el uso de cualquier Contenido, incluyendo lo relacionado con la exactitud, la totalidad o la utilidad del Contenido; por lo anterior, el Usuario manifiesta y expresamente reconoce que no puede confiarse del Contenido accesible a través de MEGAintelident Clinic.
El Usuario reconoce y está de acuerdo en que MEGAintelident Clinic puede mantener y conservar en sus archivos para sí la información personal, el Contenido de los Usuarios y los Foros Abiertos y también puede revelar el mismo si por mandato de ley y/o de autoridad competente le fuere requerido o por considerar de buena fe que dicho mantenimiento o revelación es razonablemente necesario para:
El Usuario deberá abstenerse de obtener e incluso intentar obtener Contenido a través de MEGAintelident Clinic o los Servicios mediante medios o procedimientos distintos de los que, según el caso, se hayan puesto a su disposición para este efecto o se hayan indicado para este efecto en las páginas web del Sitio en que se encuentren los Contenidos, o en general de los que se empleen habitualmente en Internet con este propósito. El Usuario se obliga a usar el Contenido de forma diligente, correcta y lícita, por lo que en caso contrario MEGAintelident Clinic podrá suspender los Servicios al Usuario inmediatamente después de que MEGAintelident Clinic haya tenido conocimiento de dicho uso, y el Usuario tendrá cinco días para remediar dicho uso o expresar ante MEGAintelident Clinic lo que a su derecho convenga. Asimismo, el Usuario, en particular, se compromete a abstenerse de:
En caso de que algún Usuario elija publicar y/o enviar cualquier tipo de Contenido para que sea incluido en áreas de Servicios a las que tiene acceso el público en general o publica y/o envía material que consista en fotos, textos, videos, etc. u otras gráficas que igualmente se publiquen en áreas de acceso libre de los Servicios, los Usuarios convienen en otorgar a MEGAintelident Clinic el derecho universal, a perpetuidad, irrevocable, no-exclusivo y totalmente sub-licenciable así como la licencia para el uso, reproducción, modificación, adaptación, publicación, traducción, la creación de obras que se deriven del original, distribución, ejecución y presentación de dicho Contenido (en su totalidad o en parte), para incorporarlo en otra obra o trabajo en cualquier forma, medio, o tecnología conocida ahora o desarrollada después.
En el caso de que el Usuario no esté no esté de acuerdo con lo señalado en el párrafo que antecede, deberá abstenerse de enviar Contenido y/o material no solicitado por MEGAintelident Clinic, del tipo que ha quedado descrito en el párrafo anterior.
El Usuario reconoce que el Servicio y cualquier software que sea necesario para ser utilizado en conexión con el Servicio, puede contener información ajena y confidencial que puede estar protegida por las leyes de propiedad intelectual y otras leyes aplicables. El Usuario manifiesta que esta enterado y conforme en que el Contenido que se encuentre en la publicidad de los patrocinadores o anunciantes y/o información presentada a su atención a través del Servicio o de patrocinadores o anunciantes, puede estar protegida y/o limitado su uso por derechos de autor, de reproducción, de marca, patentes u otros derechos de propiedad y leyes.
Exceptuando expresamente aquello que esté autorizado y así sea específicamente señalado por MEGAintelident Clinic, sus patrocinadores o anunciantes, los Usuarios se comprometen a no modificar, copiar o reproducir, rentar, prestar, vender, distribuir o crear obras del Servicio y/u obras derivadas y/o basadas en el Servicio, en su totalidad o en parte.
MEGAintelident Clinic, MEGAintelident Clinic.com y todos y cada uno de los nombres utilizados en el Servicio y en general en MEGAintelident Clinic que incluyan la palabra MEGAintelident Clinic en su denominación, son marcas registradas propiedad de MEGAintelident Clinic S.A. de C.V.
Igualmente, el logotipo de MEGAintelident Clinic está registrado y es propiedad de MEGAintelident Clinic, S.A. de C.V.
El Usuario se obliga a no reproducir, duplicar, vender o explotar por razones comerciales, la totalidad y/o cualquier porción de los Servicios o del Contenido bajo circunstancia alguna.
En el caso de que algún Usuario o un tercero consideren que cualquiera de los Contenidos que se encuentren o sean introducidos en MEGAintelident Clinic y/o cualquiera de sus Servicios, violen sus derechos de propiedad intelectual, deberán enviar una notificación a MEGAintelident Clinic en la que indiquen, cuando menos:
En caso de que el Usuario lo desee, podrá entrar en correspondencia con o participar en promociones de los patrocinadores o anunciantes que muestren sus productos y/o servicios en los Servicios. Cualquiera de dichas correspondencias o promociones, incluyendo la entrega de y el pago de los productos y/o servicios, y cualquiera de los otros términos, condiciones, garantías o declaraciones asociadas con dicha correspondencia o promociones, son entendidas como exclusivas entre el Usuario correspondiente y el anunciante y/o patrocinador, por lo que MEGAintelident Clinic no será responsable de la veracidad, funcionalidad, contenido y calidad de dichos productos y/o servicios o del pago realizado a dicha persona.
Por lo anterior, MEGAintelident Clinic no asume ni asumirá ninguna responsabilidad u obligación a ese respecto, ni puede ni será responsable por ninguna de dichas correspondencias o promociones ni será responsable por cualquier pérdida en que se incurra como resultado de dichos tratos o como resultado de la presencia de dichos patrocinadores o anunciantes en el Servicio. MEGAintelident Clinic no ofrece ninguna garantía respecto a la información propia y/o de terceros.
En algunos casos, MEGAintelident Clinic proporciona enlaces (links) a otros sitios de Internet y/o a otros recursos de terceros. En virtud de que MEGAintelident Clinic no tiene control sobre dichos sitios o sus recursos, el Usuario reconoce y acepta que MEGAintelident Clinic no es ni será responsable por la disponibilidad de dichos sitios externos y ajenos a MEGAintelident Clinic o del acceso a los mismos, ni de los recursos que éstos utilicen, y no acepta ni aceptará ser considerado como responsable por la imposibilidad de acceso a éstos ni de cualquier Contenido, anuncios, productos u otros materiales de o disponibles en dichos sitios o recursos. De la misma forma, MEGAintelident Clinic no será responsable por pérdidas o daños causados o supuestamente causados por o en conexión con el usoo la seguridad sobre dicho Contenido, productos o servicios disponibles en o a través de cualquiera de dichos sitios o recursos.
En todos los casos que más adelante se mencionan y/o de aquellos que se deriven de éstos, el Usuario acepta ser responsable y acuerda indemnizar, mantener y sacar en paz y a salvo a MEGAintelident Clinic, sus directores, funcionarios, empleados, colaboradores, proveedores, agentes y/o accionistas, en y de cualquier reclamo y/o demanda, incluyendo honorarios razonables de abogados y costas y gastos de juicios, hechos por terceras partes debido a o derivado de:
Todo Usuario del Servicio, acepta y acuerda que MEGAintelident Clinic, a su exclusiva discreción y sin notificación previa, puede terminar o suspender el uso de la totalidad o parte de los Servicios por cualquier causa o razón, por lo que reconocen que MEGAintelident Clinic no será responsable frente a los Usuarios o frente a terceros por dicha terminación o suspensión.
Los Usuarios aceptan y reconocen que MEGAintelident Clinic puede establecer en cualquier tiempo y sin previa notificación a los Usuarios prácticas y políticas generales y específicas así como limitaciones concernientes a los Servicios, siempre que las mismas sean publicadas en el Sitio, a partir de lo cual le serán aplicables a los Usuarios.
MEGAintelident Clinic solicita a todos los Usuarios que reporten cualquier violación al Convenio del Usuario o de los Convenios Específicos en cuanto tengan conocimiento de ello a través de la sección de "Comentarios y Sugerencias" que encontrarán en la página principal de MEGAintelident Clinic.
MEGAintelident Clinic de ningún modo puede garantizar que los Servicios:
MEGAintelident Clinic no garantiza que cualquier error en el software de los Servicios sea(n) o pueda(n) ser corregido(s) total o parcialmente, por lo que MEGAintelident Clinic no estará obligado a realizar concesión alguna.
MEGAintelident Clinic no será responsable por daños directos, indirectos, morales, especiales o consecuenciales que resulten del uso del Servicio o de la imposibilidad para usarlo.
El Usuario al accesar a MEGAintelident Clinic acepta en forma expresa e irrevocable el hecho que este Convenio del Usuario así como la relación del Usuario con MEGAintelident Clinic será regida por e interpretada de acuerdo con, las leyes de los Estados Unidos Mexicanos. En caso de controversia, el Usuario y MEGAintelident Clinic se someten expresamente a la jurisdicción de los Tribunales de la Ciudad de México, Distrito Federal, renunciando los Usuarios como MEGAintelident Clinic, a cualquier otro fuero que pudiera corresponderles por razón de su domicilio presente o futuro.
La falta de MEGAintelident Clinic de ejercitar o hacer cumplir cualquier derecho o disposición del Convenio del Usuario o de los Convenios Específicos no constituirá una renuncia a dicho derecho o disposición a menos que sea reconocido y aceptado por escrito por MEGAintelident Clinic.
En caso de que cualquiera de las disposiciones contenidas en el Convenio del Usuario o en cualquiera de los Convenios Específicos sea encontrada sin validez por parte de un Tribunal o Corte de jurisdicción competente o sea imposible de hacer cumplir, ambas partes acuerdan en solicitar al Tribunal o la Corte que se esfuerce para darle efecto a la(s) intención(es) de las partes así reflejadas en dichas disposiciones. Sin embargo, las demás disposiciones de este Convenio del Usuario, permanecerán con validez y plena fuerza legal.
Cualquier reclamo o acción que resulte de o que se relacione con el Convenio del Usuario o del uso de los Servicios, tendrá que ser presentada dentro de los dos meses inmediatos siguientes a la fecha en que el hecho del cual se derive el reclamo o a la acción legal correspondiente se haya verificado, o perderá ese derecho para siempre. El Usuario manifiesta su aceptación a lo anterior, sin importar lo establecido o dispuesto en alguna legislación que señale lo contrario.
Los encabezados y sub-encabezados contenidos en este Convenio del Usuario, existen para conveniencia exclusivamente y no tienen efectos legales o contractuales.
En caso de dudas con respecto a estos términos y condiciones favor de contactarnos en:
contacto@megaintelidentclinic.com
